Dental Implants
Dental implants are becoming an increasingly popular method for replacing missing teeth. In this procedure, titanium supports are surgically fused with your jawbone, and act as an anchor for naturally looking false teeth. Dental implants are not only used for individual tooth replacement, but can also be used when replacing multiple teeth as an alternative to dentures.
Advantages of dental implants
- Implants are extremely natural looking
- Fusion of the implants into your jaw make them very stable and comfortable compared to traditional dentures
- They last a lifetime
Disadvantages of dental implants
- Implants are expensive and a major financial investment
- The process of getting implants can be time consuming and requires multiple visits to the dentist
- There is a chance the surgery fails (roughly 5% of the time)
Types of implants
Your dentist will be able to tell you which of the three types of implants is right for you:
- Root form implant: This is the most common type of implant where the screw is shaped like the root of a tooth.
- Plate Form Implant:A plate form implant has a flat and long shape and is better suited for a narrow jawbone.
- Subperiosteal Implants: In some cases where there is not enough bone width or height for the root form or plate form implant, a subperiosteal implant may be prescribed. This type of implant is designed to sit on top of the bone, but under the gums.
Patients who have recieved implant treatment
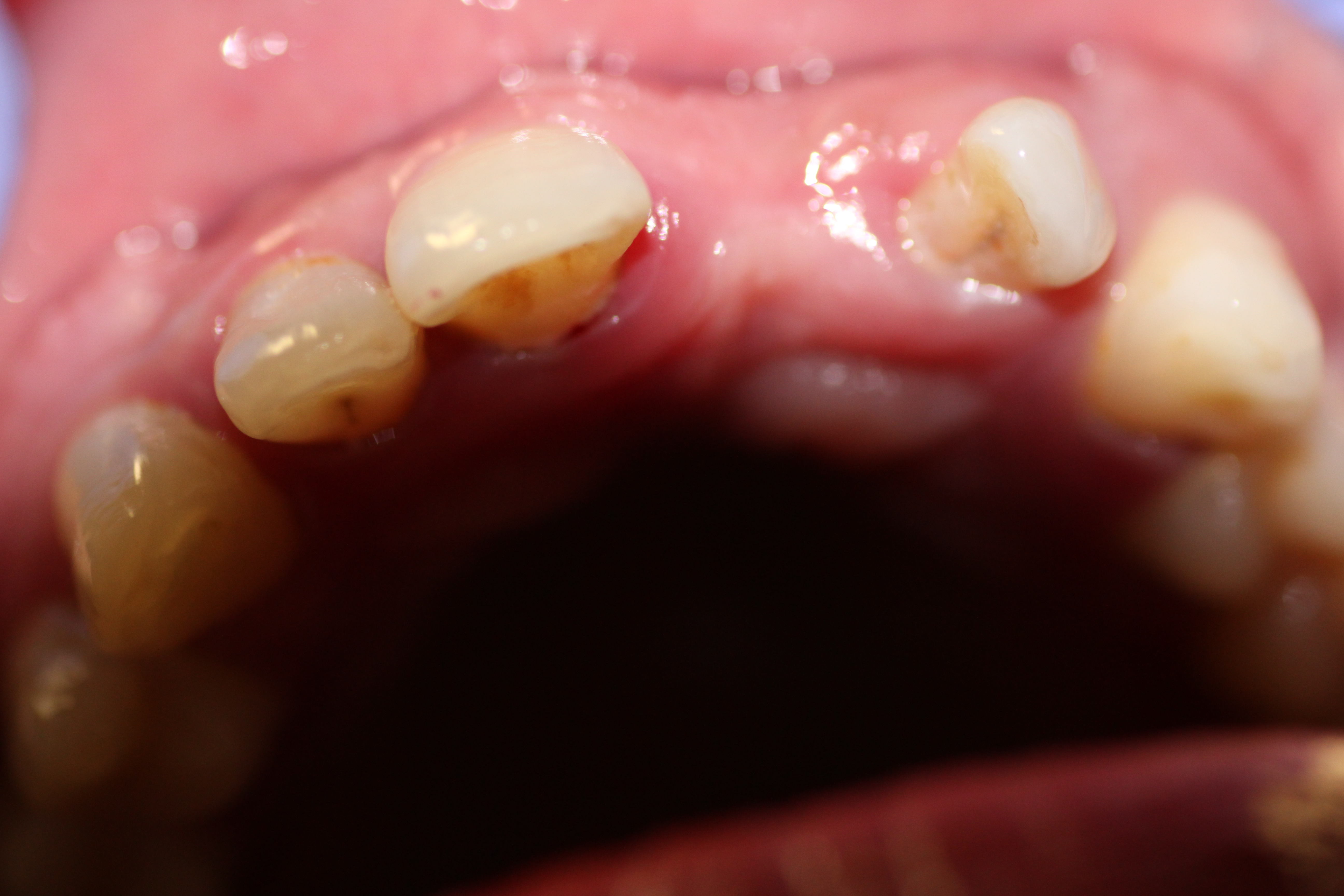
Case #1
Implant placement with immediate provisionalization in an aesthetic zone.
-

- Here is a patient that was not happy with her previous removable partial.
-

- Before Surgery.
-

- Implant being placed.
-

- Implant being sutured while the temporary crown is being made.
-

- Temporary crown made.
-


- Temporary crown in place.
-

- Here shown is the patient with her implant smiling after the implant treatment.
-

- Final Crown.
-

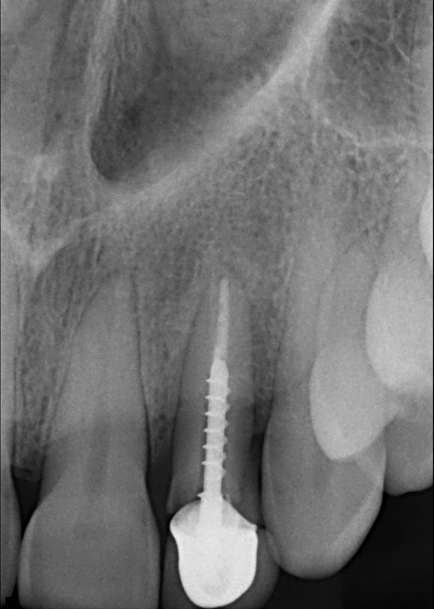
Case #2
Extraction and immediate implant placement with guided bone regeneration.

- Tooth extraction complete.
-

- A large bony defect on the buccal wall.
-

- Implant is in place.
-

- Bony defect measuring 3mm x 10 mm.
-

- Human cadaver particulated bonegraft packed into the defect followed by coverage with collagen membrane.
-

- Area is closed up with PTFE sutures.
-

- 2nd stage surgery shows nice bulk of buccal bone.
Case #3
Immediate placement with bone guided regeneration.
-

- Implant in place with mental nerve isolated.
-

- Buccal plate decorticated.
-

- Bone graft in place.
-

- Bone graft stabilized with PFTE membrane and fixation sutured.
-

- Surtured after surgery.
-

- 2nd stage surgery, membrane removed. Shows nice bulk of buccal bone.
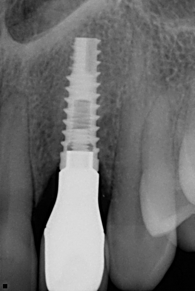
Case #4
Immediate implant.
-

- Fractured non-sealable tooth needed to be extracted
-

- Implant placed, restored with permanent crown.
-

- Custom zirconia crown abutment.
-

- Cemented all porcelain crown abutment.
Case #5



